Updated: April 12, 2024 : 2 min read
Correcting CT Scanner Streak Artifacts
Is there streak artifacts in in your CT scans?
Streak artifacts can be reduced using newer reconstruction techniques or metal artifact reduction software.
A radiologist can also try scanning at a higher kV to get a harder X-ray beam and thus, fewer beam hardening artifacts. However, there is a tradeoff in that the higher kV will reduce the tissue contrast of the scan2
This blog delves into both innovative solutions and the fundamental causes behind these common imaging challenges, equipping you with the knowledge to enhance scan quality effectively.
- How to fix artifact streaking in your CT scans
- Causes of artifact streaking
Block Imaging offers a range of service options, from full-service to as-needed repairs or upgrades. Need equipment service quickly?
Call 877-733-7142 or click and fill out the form below to connect with a service representative ready to discuss your needs.
Contact a Service RepresentativeHow to fix artifact streaking in your CT scans
To mitigate artifact streaking in CT scans, advancements in reconstruction techniques and using metal artifact reduction software have proven effective.
Radiologists can also enhance the quality of scans by adjusting the scanning parameters like increasing the tube voltage or kilovoltage (kV).
This adjustment leads to a harder X-ray beam, which can better penetrate high-density objects and minimize beam hardening artifacts. However, using a higher kV setting is a compromise, because it diminishes the contrast between different tissues within the scan, potentially affecting the diagnostic clarity.
Suppose your reconstruction techniques and reduction software are current. In that case, your radiologist is scanning with the highest kV they are comfortable with and streak artifacts are still appearing, it's probably time to call in a service engineer to diagnose underlying causes.
Causes of artifact streaking
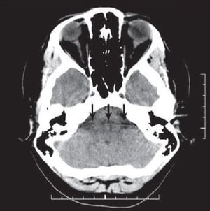
Artifact streaking is visually self-explanatory, but the causes bear some explanation. Most streak artifacts occur near materials such as metal or bone, primarily as a result of beam hardening and scatter.
These phenomena produce dark streaks between metal, bone, iodinated contrast, barium, and other high-attenuation materials. Bright streaks are seen adjacent to the dark streaks2. See an example of an artifact caused by beam hardening below.3
An analogy to help understand beam hardening would be to pretend you are swimming across a pool. I am an X-ray beam and the pool is the part of the body being scanned. As I swim, I lose energy as I cross the pool; I’m more tired the further I go.
And if I’m swimming through water, I expend less energy than if I were swimming through, a thicker substance. In the same way, X-rays lose their energy, or "harden", more quickly as they pass through metal or bone than as they pass through muscles or organs.
The other big issue that causes streak artifacts is something called ‘Compton scatter’. Scatter causes X-ray photons to change direction and change energy.
This means photons could end up in a different detector than they should be in. The biggest problem is when scattered photons end up in a detector that would usually have very few photons. For example, if a metal implant blocks all photons, then the corresponding detector element will only detect scattered photons2.
Sources:
1. https://www.appliedradiology.com/
2. http://www.edboas.com/science/CT/0012.pdf
3, http://www.radtechonduty.com/2017/03/ct-scan-artifacts.html
Block Imaging offers a range of service options, from full-service to as-needed repairs or upgrades. Need equipment service quickly?
Call 877-733-7142 or click and fill out the form below to connect with a service representative ready to discuss your needs.
Contact a Service Representative
James Porchik
James Porchik is the Field Service Engineer Manager at Block Imaging. James enjoys the growth aspect that comes in the engineering field – growth in relationships, growth in knowledge, and growth in capacity. When he is not turning the wrench, James enjoys martial arts, hiking, and listening to podcasts.

